DANGER AND VIOLENCE
| There is plenty of danger in Cape Town. Various expatriate physicians have explained to us that they left South Africa because they "lived like prisoners" behind elaborate security fences and gates, always at risk of being robbed, mugged and/or shot. On the flight from Frankfurt we saw an independent South African movie showing township kids with a gun casually robbing several white people at gunpoint, increasing their social standing with each crime. The local newspapers give alarming examples (many of the items are not big enough news for the main journals): (1) the cyclist training for a race who was pushed off his bike and stabbed, developing a pneumothorax, for 60 rand ($10) and a cell phone, (2) the mugger who stole a laptop from the window of a car stopped in traffic on the N2 highway, then died when hit by a car coming the other way as he fled; (3) the three robbers who emptied the till and left the store, then returned to shoot and kill the 30 year old female shop clerk who had probably recognized one of them; (4) the the three armed robberies on Long Street on Monday and Tuesday, all done between 9 AM and noon, which we read about in a restaurant on Long Street at about 11 AM on Wednesday; (5) the hospitalized 25 year old school security guard who was shot twice by three guys who then stole his gun, in full view of the students he was supposed to be protecting. And even closer than newspapers: one of the guests at a dinner we went to, aged fifty or so, had been "hijacked" just two nights before -- after entering her suburban compound and closing the security gate, two guys who had snuck in while it was open stole her car and purse at gunpoint. She took it in stride. At our residence, the fortyish man with a limp and a transplant kidney, whose father was shot and killed five years ago by armed robbers. At the hospital, the trouble Roal had finding interns to cover the ward while one went to Natal province for the week-long funeral for his brother, shot and killed in unclear circumstances. There are stories like this in Canada too, but in South Africa it seems like nearly everyone has had a close brush with violence. Statistically, consider: Cape Town had about 1,900 murders last year (625 per million people, or 6 per day), while Johannesburg had nearly 3,000 (near 1,000 per million, 9 a day). Compare this to Edmonton, at 1 million people one of Canada's most violent cities, where there were ~35 murders last year (3 a month). From this you are 20 times more likely to be murdered in Cape Town than Edmonton. This statistic hides a stark and obvious fact, that most of the violence in South African cities is in the very poor, almost entirely black townships -- but it's still risky to be a wealthy person in South Africa and, arguably, getting riskier. Apparently it used to be much safer for the white people under apartheid, since the police would ruthlessly crush any menace from the townships. Now, like in post communist Russia, post-apartheid South Africa has more crime and violence.
|

|
 Security fences and armed response... |
 Hospital security |
| But safety in South Africa is still comparable, on a day to day basis, to a lot of other spots in the world -- if you limit yourself to your gated compound at night (with "Armed Response" to an alarm), drive to shopping malls and restaurants with security guards patrolling the parking lots and corridors, and work in heavily guarded office towers or public buildings. This is a similar lifestyle to that adopted by the wealthy in Brazil or even in the USA, and in fact security is tighter in Washington, DC than at any building we saw in Cape Town. Perhaps the truth is that Canada and some European countries are abnormally safe, while the rest of the world takes the need for armed guards and heavy security for granted. Fortunately, the threat of political violence is low since apartheid ended. This is not the case in neighboring Zimbabwe, where a corrupt dictator is clinging to power despite the bankrupt economy with its 1800% inflation rate, savagely beating dissidents and disregarding the international community's feeble pressures. People are fleeing "Zim" in hordes and we met several ex-Zim people during our visit.
|
| . |
| . |
| ECONOMY |
| South Africa is lucky to have the rule of law, a stable currency, excellent infrastructure such as highways, strong property laws, abundant natural resources especially diamonds and minerals, plentiful cheap (though mostly unskilled) labor, and a popular democratic government that has made life better for most people since apartheid ended just 12 years ago. For example, nearly 50% of the township population now has electricity, and a basic minimum amount per month is supplied free (almost as a human right). Of course this means 50% of South Africans still lack electricity -- but progress must be expected to be slow. The national expression of post-apartheid hope and excitement is the planning for World Cup soccer in 2010, including what we think are quite impractical plans to tear down the hospital Diana was working at and build a 60,000 person stadium in just 2.5 years, not even started yet. This is supposed to happen in a country where even building a few hundred homes for low-income people becomes a years-long mess riddled with incompetent bureaucrats and shoddy workmanship. We hope they can overcome these obstacles and show off to the world what they can do.
|  Cape Town - a thoroughly modern city |
 Mostly black students, white instructors |
White professionals are still leaving South Africa. The ANC government is trying to rectify the evils of apartheid by affirmative action, which means that white medical or law students have a very hard time getting a job. It's a bit odd to see a nearly all-white medical faculty teaching nearly all-black medical students; in a sense, it's a changing of the guard and the black people want their country back.
|
| The job hunt is probably even worse if you are a white construction worker -- it was the poor whites that the apartheid regime was trying the hardest to protect. Currently the highest-paid professionals are chartered accountants (a bit of a switch from back home), and a public-sector family physician might make $50,000 a year, a nurse $15,000. Given that these people are trained to a caliber at least as fine as any Western country, is it any surprise that they head abroad. Meanwhile, business confidence is high and businessmen and the world's wealthy are flocking to South Africa, where the economy is booming. The real estate market is truly insane, with the best coastal properties priced right out of even wealthy locals' reach. Our accommodation was in Green Point, a large and extremely wealthy gay white community, and the suburb of Clifton a few minutes down the Atlantic coast is an enclave of movie stars and ultra-rich. This is just as beautiful and temperate a place as advertised, and plenty of people are willing to brave the security risks to enjoy it.
|
 Clifton: wealth on the Atlantic coast |
 Green Point |
| . |
| APARTHEID |
| So why did apartheid come to South Africa, and how did it end? A very complicated question, but here is my short capsule history of South Africa (those who know, correct me if I am wrong!). Originally populated by elephants, lions and nomadic black hunters, the first whites to settle in South Africa were in a colony of highly religious and independent-minded Dutchmen at Cape Town in the late 1600's. These went inland and became settlers and farmers, displacing and enslaving the locals using their guns as Europeans typically do. They were soon joined by Huguenot French fleeing political instability at home. The Afrikaners, speaking a dialect of Dutch later evolving into Afrikaans, ultimately developed apartheid. Some joined a shadowy "Brotherhood" of sometimes-militant white separatists reminiscent of Nazis or KKK (for 40 years every South African president was a member of this group). How did such a perverse thing happen? Back in the 1700's the British established their own Cape Town colony, and predictably, given that they had the Royal Navy and the full support of the world's richest nation, the British soon dominated the coasts of South Africa, established cities, and drove the Afrikaners (Boers) inland into dusty inland farm country. Two Boer wars were fought, the first round won by the tenacious Afrikaners and the second won decisively by the British. There has thus been a big divide even among whites in South Africa, between the Afrikaners (often joked about as the less-educated, amusingly religious country peasants) and the wealthier and more cosmopolitan British. Both of these white groups used the local blacks as slaves and imported many others from central Africa, while Indian merchants set up shop in Durban on the Indian Ocean near home. The British did outlaw slavery eventually, but the system of having thousands of black men working the mines far from family for negligible wages was not much better day-to-day than slavery. This segregation of sexes (and associated prostitution, alcohol and drugs amongst the displaced male mine workers) is probably also responsible for some of the other social ills in South Africa today. |
 Whizzing past the townships on the modern highway |
 Township in front, middle class residential neighborhood being built just behind. |
As the British empire began to collapse after World War II and other black populations in Africa overthrew their colonial bosses, the South African whites became anxious, afraid to lose the wealth and privilege they had accumulated . Apartheid was born, and voted into law by a majority of white people -- just 60 years ago, in 1948. This was a way to keep the black majority in check -- deny them education, deny them homes except in the Homelands (like Native reservations in Canada, occupying 8% of the land area of South Africa, and not exactly prime real estate either) and townships far from cities (now the source of much traffic congestion as the black people in the townships must commute long distances to work in the white cities). The denial of higher education seems to be what is mostly now crippling South African government -- despite the "scarce skills supplement" to their pay, the few educated whites who know how the water treatment plants or the power grid works are leaving for better paid jobs abroad, and affirmative action is promoting blacks who are part of the "gap" generations lacking proper education, into positions where much damage can be done. Whites can use the resulting examples of black incompetence to justify superiority and smugly say "I told you so", but of course there is nothing innate about this superiority, those "scarce skills" would be a lot more common if the education system had been structured differently. Just wait 30 years... It seems to me that apartheid was born of the fear held by the white minority that they would be trampled by the black majority if unchecked. Basically, the understandable wish for self-preservation, often admired in other contexts, lead the whites of South Africa, and particularly the Afrikaners who eventually cemented national isolation by withdrawing from the Commonwealth, into the perverse policy of apartheid. As someone married to a German I can say that, just as the Nazis were German but individual Germans were generally not Nazis, the same applies to the kind and civilized South African white people we met individually. If a social group is threatened but still holds power, what steps do its leaders take to meet the perceived threat? And before we get too holier-than-thou up north, what would Canadian and American whites have done if the Natives were, instead of a few thousand exhausted and weakened nomadic people, a vast group numbering 10 times the white population and whose labor built the country? Did we really behave much differently anyway? Native "reservations" in Canada, USA, or Australia seem a lot like black "homelands" in South Africa, and the marginalized people in these places experience the same depressingly familiar blend of poverty, HIV, TB, violence and despair. No easy solution to these problems, and no easy way to blame apartheid on "others", for any powerful minority might act the same given the chance. |
... |
How did apartheid end? I haven't read Nelson Mandela's "Long Walk to Freedom" (Diana has), but in brief, it seems that persistent nonviolent and violent resistance by the African National Congress (ANC), supported by the Soviet Union and encouraged by international boycotts, had a lot to do with it. Without Nelson Mandela, though, there might still have been apartheid today, and/or civil war. If you think of it, it is amazing that the whites finally allowed the massive black majority (10% vs 90% of the population) the vote and essentially their country back, without war or even that much bloodshed (hundreds rather than many thousands as in, say, Iraq). Nelson Mandela is like Russell Crowe in Gladiator, the prisoner who would be king -- after being in jail 27 years, shortly after his release he became a Nobel laureate and President. It was his civilized way, generous and without revenge or malice, and his extremely skilled and patient negotiations over decades which finally made white government officials including F W de Klerk see that the way forward was actually better by ending apartheid than continuing it. What a truly amazing man -- Abraham Lincoln of South Africa. Can you believe he is still alive and well and blessing students at graduations, revered as "Mandiba". Visiting Robben Island made Diana and I understand his impact and his greatness. As an example, he actually refused multiple offers of conditional release in the last decade of imprisonment, because he sought true freedom and a better life for his nation. Though let's not forget, unlike Gandhi, he embraced violence almost from the start as a means of resistance. This means George Bush would have called him a "terrorist" from the Axis of Evil, and look where that would have got everyone.
|
 Ferry to Robben Island |
 Cave in the limestone quarry where Nelson Mandela used to hold secret political meetings with other prisoners |
 Shipwreck, like the apartheid policy |
 Ex political prisoner, now lives on Robben Island by choice as a tour guide |
 Mandela's cell |
 Courtyard where Mandela hammered limestone |
 Apartheid even in prison |
 Harbor on return |
An interesting geopolitical tidbit -- the start of apartheid was closely tied to the fall of the British empire, and its end was closely tied to the fall of the USSR, since the ANC-vs-whites struggle was also something of a proxy war reliant on covert funds and rhetorical support from bigger Cold War players abroad. Thus we get oddities like the South African army withdrawing from Angola to avoid defeat at the hands of Cuban troops and planes! When the grand chess masters of the north tired of their South African gambits, the ANC ran out of money and weapons and the Afrikaners, crippled by worldwide sanctions, seized on this apparent weakness as a time for negotiation. Unintended byproduct of the sanctions and war: South Africans make excellent military equipment including the virtually indestructible Nyala troop transport vehicle that is now being made for Americans in Iraq and Canadians in Afghanistan.
|
 Prison walls -- looks like any South African residential neighborhood |
 Beautiful harbor |

|
Apartheid, with its massive segregation of blacks into crowded townships/homelands far from family and work, surely is the biggest single contributing factor behind South Africa's current massive social problems, but other factors are also at work. The violence and crime that pervade the society are probably due to the very steep slope separating the extremely wealthy from the desperately poor -- wherever this wealth gradient at its steepest, eg. in Rio de Janiero, Los Angeles or Washington DC, then violence and crime rise up like crashing surf, attempting to flatten the beach by redistributing the sand. And once the population has guns and violence is bred in, like a bear that has learned food in campgrounds is tasty, something turns nasty and you can't go back to quite the civilized peaceful society there might have been once. And of course in South Africa, a country perhaps best thought of as recently post-war, there is the possible additional justification that a common criminal is still rising up against the white oppressor.
|
. |
TB AND HIV |
Health in South Africa is also in crisis, again due primarily to the inequities of apartheid and daily African life. HIV and TB are cutting the life expectancies of black South Africans to half that of their wealthy white compatriots. Why is the situation so bad, and what can be done about it? One thing to understand is the relation between TB and HIV. Tuberculosis, the "red snapper" under a microscope, is an elusive bacteria that spreads through the air (particularly in the cramped quarters that most poor people in townships live), is very hard to kill and requires a complex immune response to contain. Most people exposed to TB don't get very sick, just a flu-like illness, because the body's T-cells act with other immune cells called macrophages to identify and surround the TB bacteria in "granulomas", isolation wards within the body, often found at the apices of the lungs. If at any time your immune system weakens (stress, diabetes, old age or other illness), the TB bacteria can overwhelm the body's defences and produce severe and lethal illness, the weight loss and gradual death once called "consumption". The HIV virus, spread primarily sexually (via a lack of education, lack of rights for women who have no chance to insist on using condoms, and male promiscuity in a society which has historically separated male workers from their families for extended periods), unfortunately has its main effect on those T-cells which would otherwise be controlling TB. And since HIV takes so long (at least 7 years) to do enough damage to T-cells to cause obvious symptoms, "healthy" young men are out there spreading the disease widely amongst the women of the township. Really disturbing is the belief that if you have sex with a virgin you will be cured of HIV -- which leads directly to distressingly common child rape. |
 Four drugs to treat TB, at least four for HIV -- a lot of pills |
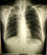
 TB in the right upper lobe |
Misinformation about HIV extends to the highest levels of government. The current South African health minister recommends garlic, lemon and beetroot to cure HIV. Perhaps the fates are rewarding her for this bizarre stance -- she is currently severely ill in hospital with an undefined illness that required an urgent liver transplant (people suspect TB/HIV or alcoholism). This stunning lack of understanding of HIV among high government officials is widespread -- deputy president Jacob Zuma, on trial for rape of an HIV-positive girl, said he's unlikely to have caught HIV since he had a shower afterwards!
|
| So, everybody catches HIV, which unleashes their latent TB, which then spreads further through the township, and an entire generation is dying of "consumption", at the doorstep of some of the most beautiful scenery and expensive homes in the world. White people catch TB from their black servants and laborers (in the newspaper: a white construction mechanic caught it from his black carpenter who always wanted to sit in the cab of the truck because he was having chills), and catch HIV from sexual indiscretions too. And because so many people don't finish their TB treatment completely, the bacteria develop resistance, and now there is XDR-TB (Extreme Drug-Resistant), for which the only cure is isolation until death, just like the sanatoria of the pre-antibiotic era. Diana saw plenty of MDR- and XDR-TB, and hopefully didn't catch either of these. This is all very frightening, since Cape Town is also either the 4th or 6th most visited tourist city in the world, meaning disease can and will spread from this city at the speed of an international flight.
|
 TB |
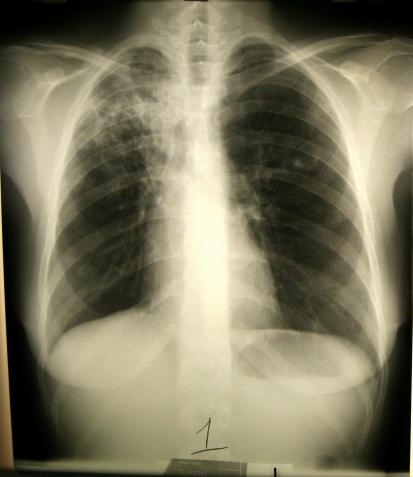
 For lack of a cheap test, deadly TB strains develop |
 Despair |
 Escape! |
 How to take your HIV meds |
| . |
| . |
TRAUMA AND TWO-TIER HEALTH CARE |
| Like most countries, South Africa has a two-tier health care system. The best example of how this works is in orthopedics, as highlighted to us by an ortho resident over a delicious seafood dinner in Cape Town. Public-health orthopods are extremely busy 24 hours a day patching up trauma victims, related either to assaults or cars. The gunshot/stab/beating wounds are usually in victims domestic violence or other assaults that are part of the crowded and impoverished township lives. Cheap booze (a litre of wine is as little as $1.75 even in tourist areas and a beer costs the same as mineral water at the restaurant) and readily available drugs, including "tik" (methamphetamines apparently prepared by vaporizing across the spark in a broken light-bulb, making a "tik tik tik" sound), encourage the violence. Highway accidents are often due to drunk driving (if arrested for drunk driving apparently you will spend the night in jail sobering up then return to your usual ways). These collisions are particularly awful in South Africa because the roads are so good -- speed limits are 120 km/h, many are driving new or used Mercedes or BMW that can exceed 200 km/h, and because townships are far from places of work, thousands of township residents have to walk along the side of the highway hitchhiking. Thus the perfect storm -- drunk on cheap liquor, a businessman races home after dinner at 150 km/h and mows down an entire family of township dwellers who were crossing the highway and misjudged his speed. Key steps being undertaken by the ANC government are building overpasses, sidewalks and overhead lights along the highways. This won't stop the carnage though, as people don't like climbing stairs to overpasses. The other major source of deaths is collisions between minibus taxis, each holding 15 occupants without seatbelts; these routinely overtake other vehicles around blind corners. On the Easter long weekend alone, there were 181 road deaths in South Africa (47 million) -- adjusted for population, about 10 times as many road deaths as one would see in Canada. |
 Overpass from the township, to discourage pedestrians on the highway |
 Township -- unannounced on maps or road signs. |
 Baboons and poor black people are both highway hazards. The apartheid equation: black people = baboon-like. Sad truth -- the poor black people are only walking on the highway because apartheid dictated where they had to live. |
 Hope the loads don't slip off their heads |
 Family sedan, apartheid style |
 Always room for one more |
 Gunshot fragments in the brain of a 4 year old boy, victim of stray bullets in a township gun battle |
| The public-sector orthopod, then, is busy patching people up, with such a limited budget that the hospital can't afford for him to use the device that would actually fix the fracture properly. With this penny-wise and pound-foolish approach, a man with a tibial fracture, which if plated properly would heal so he could be back to work in a couple of months, is instead put in a cheap plaster cast. He now has a high risk of non-union with lifelong disability and may never work again (might have to resort to selling drugs or stealing from white people, you never know). The need for cheaper orthopedic devices and better funding is obvious. Meanwhile, the orthopod becomes so burnt out after years of grueling work at high personal risk (trauma surgeries are bloody operations and patient after patient has HIV, hepatitis C and TB) that he wants to go into private practice. After all, the government, far from allowing the surgeon to occasionally pursue specialist surgeries or go to conferences to meet colleagues occasionally, wants to send every orthopod into often remote township hospitals to be "bush doctors," much like going to war. But in private practice, there are far too many orthopods (all fleeing the miserable conditions in the public sector), all chasing too few patients (the aging white wealthy with their hip, knee and shoulder problems that can be fixed with fancy arthroscopic surgeries which are the most fun part of orthopedics in my opinion, or joint replacements, which are highly lucrative). Apparently competition here is so fierce that the private-sector orthopods resort to putting each other down ("oh, his work is rubbish, don't go to him") in a most unprofessional way. So there it is -- 20% of the patients have 80% of the money and are over-served by orthopods, while the penniless 80% of South Africans get barely adequate care from idealistic but burnt-out public-sector orthopods. This little drama replays itself in each medical specialty to some degree.
|
 We have crowding like this in some Canadian hospitals too |
 Gate at the triage door swings open briefly for a new patient |
PREVIOUS |
NEXT |
HOME |